当院で実際に施した、インプランドをご紹介します
当院で実際に施した、インプランドをご紹介します
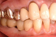
case1
40代/女性
下顎臼歯部2本欠損 インプラント2本埋入予定。


インプラントOpe8週後


完成
歯冠補綴(ハイブリットクラウン)
case2

50代・男性
下顎臼歯部3本欠損 インプラント3本埋入予定。

インプラント3本埋入
銀歯で修復
オペ費用 ¥400,000(税別)
歯冠修復 銀歯+チタンアバットメント ¥120,000(税別)
case3


50代・男性
下顎臼歯部3本欠損


インプラント3本埋入
完成
ハイブリットクラウンで歯冠修復
オペ費用 ¥400,000(税別)
歯冠修復 ハイブリットクラウン+チタンアバットメント ¥180,000(税別)